› Forums › Limb Lengthening Patients Experiences › My Limb Lengthening in Armenia
- This topic has 7 replies, 4 voices, and was last updated 8 months, 4 weeks ago by moe.

- Post
-
- 1 year, 3 months ago
Hi to everyone! I wanna share my experience of limb lengthening in Armenia. Hope this will help others who are still hesitating to do it or not, if yes, so where to go.I underwent a leg lengthening surgery for 11 cm by LON method in 2021 in Armenia. Before going there, of course I had emailed to a few centers, gathered a lot of info about the doctors, their experience and finally chose Armenia.
First, I sent an email and got the reply within 12 hours. They asked me to send my photos first to check my body proportions, and then offered two methods to gain my goal: Ilizarov method and LON. As I had limited time, I chose LON method. Everything was clearly explained to me via email. On arrival day they met me at the airport and taken to the hospital to meet the doctors. Dr. Mirzoyan and his team explained the upcoming treatment once again, and the surgery day was scheduled.
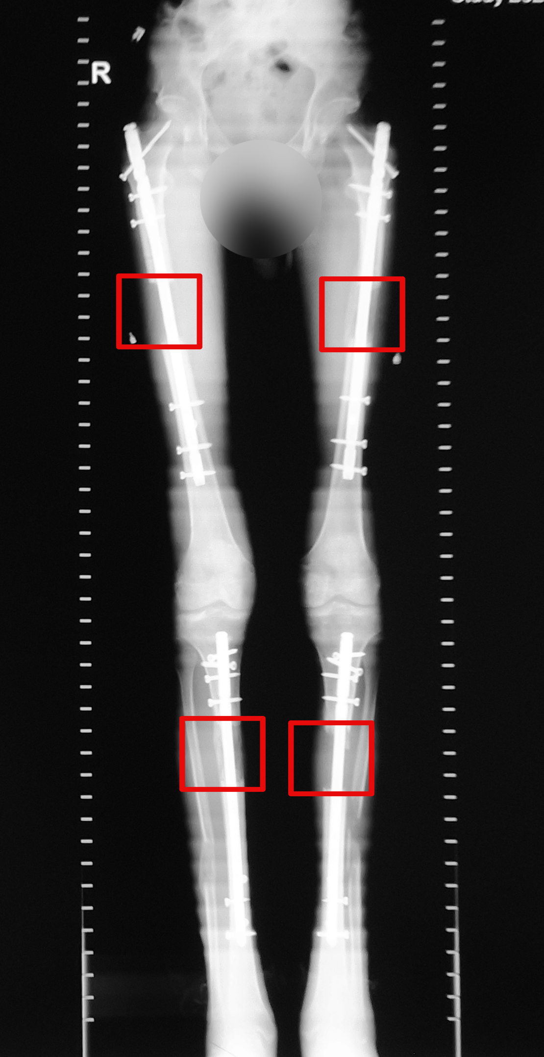
To be short, I underwent 3 surgeries and finished treatment with 4 implants in legs within 6 months. I attached 2 CT scans – before and after with 4 implants. I will lie if I say the treatment was an easy procedure. There are days when the pain is stronger than average but I could manage it by taking painkillers, do physical exercises. By the way, I had a physical therapy 6 times a week․ I worked with the physical therapist for one hour, but continued doing exercises, walking a few times a day. Honestly, it was hard but I realized the difficulties and more important, it was my decision to become taller.
That year, the center admitted about 20 patients from USA, Austria, and Japan. I shared the apartment with 2 patients. I can say, that it is good when you are not alone, and there is one with whom you can talk, discuss own experience. I can definitely say that the staff was very attentive, even minor problem was solved on time. I liked everything including eating, but I was impressed when the staff took us to beautiful places of Armenia. We visited two places. Not everyone joined this tour, but majority of us accepted their invitation with a pleasure. It was fantastic, the weather was fine, the food was awesome and we relaxed, had a lovely time.
Last year, I visited Armenia for a short period to remove my implants. Now I can say, that I have no problem, I can run, I go to gym almost every day. I am still in contact with my limb lengthening friends. They all are good. We even forget that we lengthened our legs.
Attachments:
00
- Replies
-
-
- 1 year ago
Can i contact you please?00 -
- 11 months, 2 weeks ago
Hi, I wanted to ask your opinion, after a lengthening procedure (I would aim for 5 cm) is it possible in your opinion to go back to doing MMA, thanks.00-
- 11 months, 2 weeks ago
Hi! I think you will have to start from the beginning to go back to MMA. Are you a professional sportsman?Of course, 5 cm is not as much as it in my case. I think you will go back to your routine quickly.
By the way, it is better to ask the doctor regarding MMA 🙂
00
-
Tagged: Height Increase, Limb Lengthening
- You must be logged in to reply to this topic.

